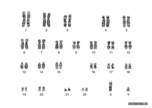
男性染色体核型分析图

染色体核型分析在染色体病诊断中的应用

染色体核型分析在染色体病诊断中的应用

染色体核型分析结果染色体核型结果有谁能看懂帮忙回答下

染色体核型分析结果染色体核型结果有谁能看懂帮忙回答下

教你看懂染色体核型分析报告

教你看懂染色体核型分析报告

染色体核型分析在染色体病诊断中的应用

染色体核型分析在染色体病诊断中的应用

等位基因

等位基因

细胞毒治疗相关髓系肿瘤1例

细胞毒治疗相关髓系肿瘤1例

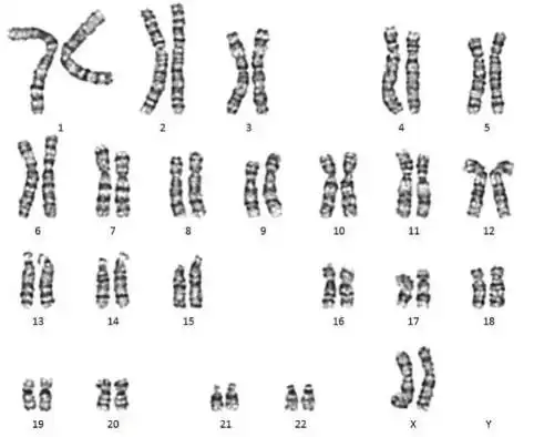
一位新生儿表现出发育明显差眼球过小等症状为了探明原因,医生采集患者相关组织细胞检测,获得其染色体核型如图请分析回答1为观察到典型的染色体核型,需在视

一位新生儿表现出发育明显差眼球过小等症状为了探明原因,医生采集患者相关组织细胞检测,获得其染色体核型如图请分析回答1为观察到典型的染色体核型,需在视

细胞毒治疗相关髓系肿瘤1例

细胞毒治疗相关髓系肿瘤1例

染色体检查怀宝宝的那些秘密都在这里

染色体检查怀宝宝的那些秘密都在这里

染色体核型分析重要吗

染色体核型分析重要吗

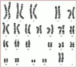
一例复杂核型mds伴vb12降低病例分享

一例复杂核型mds伴vb12降低病例分享

您真的了解羊水细胞染色体异常检测吗

您真的了解羊水细胞染色体异常检测吗

染色体核型分析报告谁能看懂是男是女

染色体核型分析报告谁能看懂是男是女

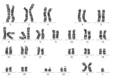
染色体核型分析结果是46,是什么意思啊附染色体照片一张,最后面显示的xy是什么意思

染色体核型分析结果是46,是什么意思啊附染色体照片一张,最后面显示的xy是什么意思

同问染色体核型分析报告谁能看懂谢谢

同问染色体核型分析报告谁能看懂谢谢

羊水穿刺之染色体核型检测,如何解读出现异常怎么办

羊水穿刺之染色体核型检测,如何解读出现异常怎么办

亚裔男性头像

上一篇